Wat is een hielspoor?
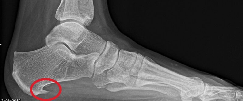
Een hielspoor is een botuitwas (verkalking) aan de onderzijde van het hielbot, het zogenoemde calcaneus. Deze verkalking bevindt zich op de plaats waar de peesplaat onder de voet, de fascia plantaris, aanhecht. Een hielspoor is goed zichtbaar op röntgenfoto’s en kan ook met echografisch onderzoek worden vastgesteld.

Hielspoor duidelijk zichtbaar op deze op röntgenfoto.
Hoewel de term “hielspoor” vaak wordt gebruikt om hielpijn te beschrijven, is het belangrijk te weten dat een hielspoor niet altijd klachten veroorzaakt. Uit meerdere studies blijkt dat een aanzienlijk deel van de bevolking een hielspoor heeft zonder daar ooit pijn van te ervaren. Wanneer willekeurige mensen zonder klachten worden onderzocht, blijkt bij ongeveer 20–30% een hielspoor aanwezig te zijn.
De pijn die mensen ervaren bij hielspoor wordt tegenwoordig vooral verklaard door een aandoening van de peesplaat zelf, namelijk fasciitis plantaris. Hierbij is sprake van overbelasting en degeneratie van de peesplaat, soms in combinatie met een lokale ontstekingsreactie. De hielspoor is hierbij meestal een reactie van het lichaam op langdurige trekkrachten, en niet de directe oorzaak van de pijn.
In dit artikel
In dit artikel leest u wat een hielspoor is, welke rol de fascia plantaris speelt bij het ontstaan van hielpijn en welke klachten, onderzoeken en behandelopties daarbij horen. Klik op een onderwerp om direct naar het juiste onderdeel te gaan:
De rol van de fascia plantaris
De fascia plantaris is een stevige bindweefselstructuur die loopt van het hielbot naar de voorvoet. Deze peesplaat speelt een belangrijke rol in het ondersteunen van de voetboog en het opvangen van krachten tijdens lopen, staan en springen. Bij iedere stap wordt de fascia plantaris belast, vooral tijdens het afzetten van de voet.
Wanneer deze belasting langdurig te groot is of onvoldoende hersteltijd krijgt, kan de kwaliteit van het weefsel achteruitgaan. Dit kan leiden tot kleine scheurtjes, verminderde elasticiteit en pijnklachten ter hoogte van de aanhechting aan het hielbot. Op deze plek kan het lichaam extra bot aanmaken, wat zichtbaar wordt als een hielspoor.
Oorzaken van een hielspoor
Het ontstaan van een hielspoor en bijbehorende hielpijn is meestal het gevolg van een samenspel van factoren.
Veelvoorkomende oorzaken en risicofactoren
Gewichtstoename
Extra lichaamsgewicht vergroot de belasting op de voeten, met name op de hiel. Dit kan bijvoorbeeld optreden tijdens zwangerschap, maar ook bij geleidelijke gewichtstoename.
Overbelasting
Sporten zoals hardlopen, wandelen of springen kunnen bijdragen aan het ontstaan van klachten, vooral wanneer de trainingsbelasting plotseling wordt verhoogd. Te snel opbouwen, onvoldoende rust of trainen op harde ondergronden vergroten het risico.
Voetstandafwijkingen
Bij een platvoet (doorgezakte voetboog) staat de fascia plantaris voortdurend op rek. Ook bij een holvoet kan de belasting ongunstig verdeeld zijn, wat kan leiden tot overbelasting van de peesplaat.
Leeftijd
Met het ouder worden neemt de elasticiteit van pezen en bindweefsel af. Daarnaast kan de voetboog geleidelijk inzakken, waardoor de spanning op de fascia plantaris toeneemt.
Onjuist schoeisel
Schoenen zonder voldoende demping, ondersteuning of stabiliteit verhogen de belasting op de hiel.
Afwijkend looppatroon
Overmatige pronatie (het naar binnen kantelen van de voet tijdens het lopen) kan extra trekkrachten veroorzaken op de peesplaat.
Al deze factoren zorgen ervoor dat de fascia plantaris langdurig onder spanning komt te staan. Het lichaam probeert zich hieraan aan te passen, wat kan leiden tot verkalking ter plaatse van de aanhechting en uiteindelijk tot pijnklachten.

Verschillende locaties van een peesplaatontsteking
Symptomen van een hielspoor
Het meest kenmerkende symptoom bij een hielspoor of fasciitis plantaris is startpijn. Deze pijn treedt vooral op bij:
- De eerste stappen in de ochtend
- Opstaan na langere tijd zitten of rusten
De pijn wordt vaak omschreven als stekend of scherp en bevindt zich aan de onderzijde van de hiel. Dit komt doordat de peesplaat tijdens rust licht verkort en verstijft. Zodra er weer druk op wordt uitgeoefend, ontstaat pijn. Na enkele minuten lopen neemt de pijn meestal af doordat de pees soepeler wordt. In een verder gevorderd stadium kan de pijn:
- Langer aanhouden tijdens het lopen
- Terugkomen na inspanning
- Of zelfs in rust aanwezig zijn
Dit kan het dagelijks functioneren, werk en sport aanzienlijk beperken.
Diagnosestelling van een hielspoor
De diagnose wordt meestal gesteld op basis van:
- Het klachtenpatroon
- Lichamelijk onderzoek
- Eventueel aanvullend beeldvormend onderzoek
Een röntgenfoto kan een hielspoor zichtbaar maken, maar is niet altijd noodzakelijk. Met echografie kan de dikte en kwaliteit van de fascia plantaris worden beoordeeld en kan worden vastgesteld of er sprake is van overbelasting of degeneratie.
Behandelen van een hielspoor
Niet-operatieve behandeling
In de meeste gevallen is een conservatieve behandeling effectief. Deze richt zich op het verminderen van pijn, het verbeteren van de belastbaarheid en het herstellen van de peesplaat. Belangrijke onderdelen van de behandeling zijn:
Aanpassen van belasting
Het tijdelijk verminderen of aanpassen van belastende activiteiten is belangrijk. Volledige rust is meestal niet nodig, maar gedoseerd belasten wel.
Schoenadvies en therapiezolen
Goede schoenen met voldoende demping en ondersteuning verminderen de trekkrachten op de peesplaat. Op maat gemaakte therapiezolen kunnen de voetstand corrigeren en de belasting beter verdelen.
Oefentherapie
Rek- en krachtoefeningen voor de kuitspieren en de fascia plantaris spelen een centrale rol. Met name excentrische oefeningen blijken effectief bij herstel van de peeskwaliteit.
Operatieve behandeling
Een operatie is zelden nodig. Alleen wanneer langdurige, goed uitgevoerde conservatieve behandelingen (meestal langer dan 6 tot 12 maanden) onvoldoende effect hebben en de klachten ernstig blijven, kan een operatieve ingreep worden overwogen. Dit is echter een laatste redmiddel. Is een behandeling met operatie noodzakelijk, dan zijn er verschillende operaties van een hielspoor mogelijk.
Heeft u last van een hielspoor?
Een hielspoor is een veelvoorkomende aandoening die vaak samengaat met hielpijn, maar niet altijd klachten veroorzaakt. De pijn ontstaat meestal door overbelasting van de fascia plantaris en niet door de verkalking zelf. Met tijdige, gerichte en niet-operatieve behandeling herstellen de meeste mensen goed. Professionele begeleiding door een podoloog, podotherapeut of fysiotherapeut speelt hierbij een belangrijke rol.
Podozorg Nederland is een groep (register) podologen en podotherapeuten die u graag helpen met voetklachten door een hielspoor. Met meer dan negentig Podozorg praktijken zit er altijd een praktijk bij u in de buurt! Klik op de onderstaande knop en vind de dichtstbijzijnde Podozorg praktijk.
Gebruikte literatuur
- Riel, H., et al. (2019). Plantar fasciopathy: a review of current concepts. British Journal of Sports Medicine.
- Goff, J. D., & Crawford, R. (2011). Diagnosis and treatment of plantar fasciitis. American Family Physician.
- Martin, R. L., et al. (2023). Heel Pain – Plantar Fasciitis: Revision Clinical Practice Guideline. Journal of Orthopaedic & Sports Physical Therapy.
- Schwartz, E. N., & Su, J. (2020). Plantar fasciitis: a concise review. The Permanente Journal.



